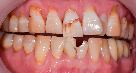
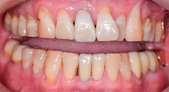
연세에이치유치과의원 HEALING YOU 치과 치료
어디서 시작하느냐에 따라 결과가 달라집니다.
누구와 함께 하시겠습니까?
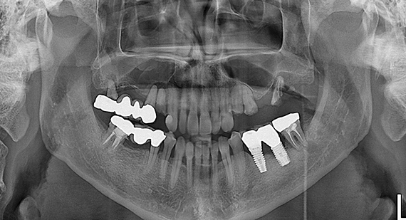
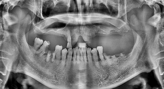
Healing yoU 환자분에게 꼭 맞는 치료를 하고
HUman 가족과 같은 마음으로 존중하며
a 치유 치료를 넘어 치유를 한다는 뜻입니다
쉴 HU(休) 무서운 치과치료가 보다 편안하실 수 있게 다가가겠습니다




























